图知网
搜索
首页
热门推荐
图片分类
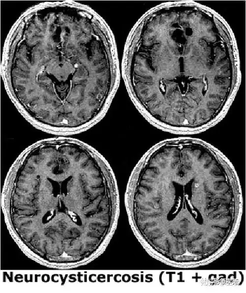
脑绦虫感染就是脑囊虫病吗
下载原图
相关图片
这可能会压迫脑组织,引起脑组织炎症,软化,水肿等.
脑囊虫也导致三叉神经痛!罕见
一文读懂:脑囊虫病的影像学表现
脑囊虫病的诊断与鉴别
脑囊虫也导致三叉神经痛!罕见
吃进去的寄生虫,它可能爬呀爬,就爬到脑子里去了
为你推荐
花梨木精油
冬日恋歌
初中一年级英语作文我的校园生活③myschoollife
又见艺术车 宝马车的涂装艺术
我的父亲我的兵:老田专心追小凤,连教官也不当了
dream george 情头
赛宾:深圳市京基100(kk100)
怀孕28周,胎儿体重约1000g,身长约35cm,顶臀长25cm,皮肤粉红,眼睛半