图知网
搜索
首页
热门推荐
图片分类
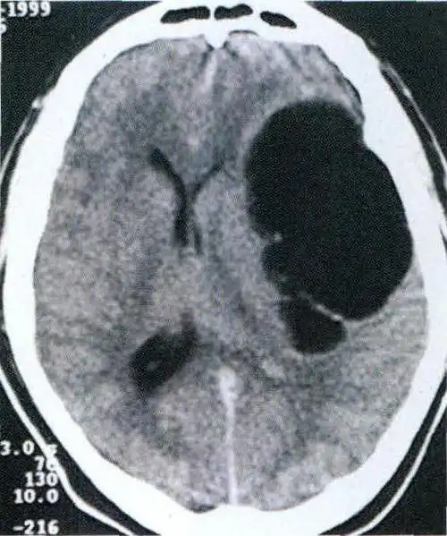
脑囊虫也导致三叉神经痛!罕见
下载原图
相关图片
来源:成都西南脑科医院 日期:2019-10-15 浏览: 11083 次
脑脓肿
脑囊虫也导致三叉神经痛!罕见
脑囊虫病的诊断与鉴别
(图) -1-2 左颞叶脑包虫病
脑绦虫感染就是脑囊虫病吗
为你推荐
近日,有媒体曝林心如给日本捐款150万,林心如官方后援会出面发声,回应
2021年超级励志鼓舞人心头像【点击鼠标右键下载】
一年级美术地下王国
桌面速查世界地图
《陀枪师姐2021》第24集:忠少杀死金爷,洪永城正式担任终极boss
森隆饭庄(新世界百货店)-"运动睡眠少,负面未及时发泄,这次感冒后,.
活动作品天天炫斗解说116龙女奥义之一回马枪
"浅空天胧应援壁纸" 要转发分享的 请