图知网
搜索
首页
热门推荐
图片分类
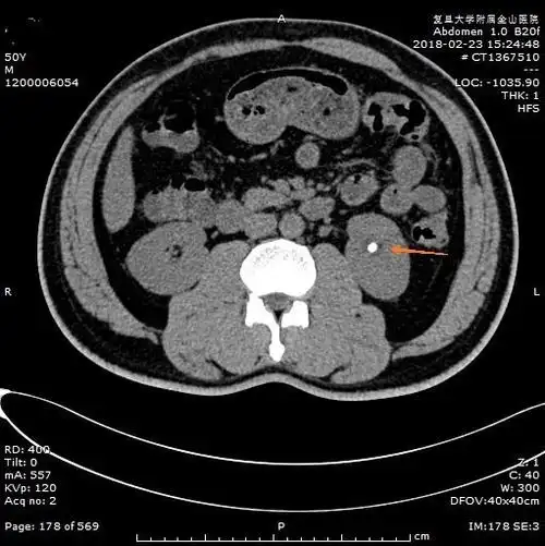
泌尿系统结石之肾结石ct表现 - 好大夫在线
下载原图
相关图片
肾结石的硬度已经颠覆了医生的认知,肾结石的ct值了解一下
女性,22岁,体检发现右肾占位,ct报告:右肾上极强化小结节,mt较aml可能
泌尿系统结石之肾结石ct表现
67岁大哥肾结石,ct病例查看结石
门诊完善泌尿系ct后以"左输尿管结石伴积水感染"收住院.
郴州市第四人民医院:妙手"拆弹",切除巨大肾上腺肿瘤
为你推荐
放下吧说说图片
画奥特曼的简笔画 画奥特曼的简笔画赛罗
手表,手,黑暗 iphone 壁纸
番外篇(无惨炭治郎)-是小鱼鱼哇最新章节-免费小说-全文免费阅读-是
卡通七星瓢虫
景观手绘 #景观考研 #郑州绘聚手绘 #河南绘聚手绘园林考研鸟瞰图画
双手捧心图标,轮廓风格美国护士手捧心形水墨画女性手捧心与爱文本和
中国航天科技集团有限公司