图知网
搜索
首页
热门推荐
图片分类
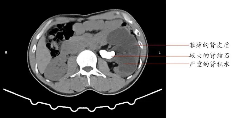
泌尿系统结石之肾结石ct表现
下载原图
相关图片
医院拍ct说我左肾下盏结石0.6cm,是不是那个白色的点点就是结石啊?
/span> /strong> /p> p>据不完全统计, /p> p>我国肾结石发病率为
肾结石的硬度已经颠覆了医生的认知,肾结石的ct值了解一下
女性,22岁,体检发现右肾占位,ct报告:右肾上极强化小结节,mt较aml可能
左肾结石彩超,ct检查情况2患者目前病情可考虑行经皮肾镜肾结石碎石
最新进展 > 正文 后进行ct平扫时,除了发现左侧肾盂结石以外,细心的
为你推荐
动漫头像:火影忍者小南美女头像说了不要就是要的意思腾讯新闻
戴马克眼睛的社会人头像卡通抽烟的图片-动漫头像
肖战 漫画干不过真图系列,有人有真图吗 - 抖音
王者荣耀大乔白蛇小乔青蛇皮肤台词出处
潮春江在香港有很多家的连锁店,位于中环的这一家是在怡和大厦的地库
霸气高冷女生头像背影我们都活得太现实
军事丨美军新一代突击步枪被打入冷宫样枪在试验中熔化
贾宝玉简笔画q版人物