图知网
搜索
首页
热门推荐
图片分类
西服展柜设计,秒变艺术品!
下载原图
相关图片
该说不说,郑州这家西装定制店真有点东西?
现代简约西装店展柜设计定制工厂.
记住佛山这家意维西装定制店!
西装店展示柜商务男装货柜礼服高定馆西服展柜实木服装柜烤漆货架
宜昌西装定制店铺推荐‼ 说的就是这家 👉🏻爱多瑞时尚定制👈
一家在青岛的高级西装定制店
为你推荐
侧脸女生头像
头像分享 | 黑色系动漫女头. 黑色系动漫女头来啦
2020年衣柜流行这么装极简轻奢
野杨桃可以泡酒吗?
杰瑞表情包拿走不谢
3,世界的人种及分布
暖色系 插画师 gaw ki (ins:gaw.ki ) 67676767
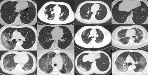
新冠肺炎呈阳性的 ct 扫描图像示例. 方法