图知网
搜索
首页
热门推荐
图片分类
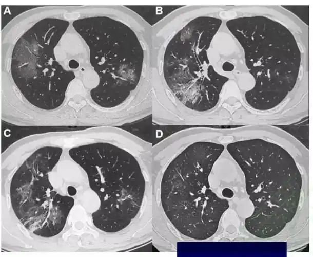
新冠肺炎呈阳性的 ct 扫描图像示例. 方法
下载原图
相关图片
新型冠状病毒感染的肺炎ct影像学表现
大叶性肺炎?合并肺脓肿? [病例帖]
什么肺炎的ct影像如此与众不同
这两种肺炎在ct上的鉴别点,你清楚吗?
女性30岁,咳嗽,咳痰10天,胸部ct报告肺炎,猜病原体 - 呼吸胸外 - 医学
大叶性肺炎?但体征不明显,如图
为你推荐
杨洋头像图片帅气侧脸 - 搜狗图片搜索
素描入门 基础静物单体.969895 山竹 绘画步骤 作业交 - 抖音
深圳机场启建三跑 年吞吐旅客可达8000万
祁隆一首《问佛》开开世间事,平凡过一生
悍沃1804轮式拖拉机
齿轮画法图基础资料
台湾地藏王菩佛像纯铜彩绘娑婆三圣地藏菩萨铜像居家供佛摆件
edifier漫步者m33blue蓝牙无线音箱拆解图集