图知网
搜索
首页
热门推荐
图片分类
大面积脑梗死的介绍及图片展示_脑梗塞_脑梗塞介绍 - 好大夫在线
下载原图
相关图片
常常急性起病,通常没有前驱症状但是有一部分脑梗塞,一后循环的脑梗死
微博搜索 - 急性期脑梗死的症状 - 微博
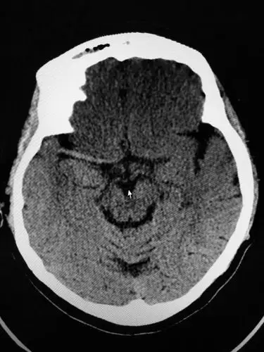
右侧大面积脑梗死,可见右大脑中动脉高密度征,提示血栓形成
专访:delp治疗急性脑梗死
【病例讨论】今天我查房(三):急性多发性脑梗死 [病例帖]
最有效的治疗急性脑梗死的方法---静脉溶栓或动脉溶栓和取 - 好大夫
为你推荐
夏季军迷圆边帽户外奔尼帽丛林迷彩帽子渔夫帽登山遮阳帽跨境货源
小清新绿色养眼植物桌面壁纸
火影忍刀七人众林檎雨由利全忍术鉴赏终于在死后找到了爱情
13种花的中日英文名及花语94可做网名
国庆节快到了教孩子剪一个爱心五角星剪纸
腹膜内位器官:指器官表面几乎完全被腹膜覆盖的器官.
全新波速尔m1几千块
建议改为:你的抽卡