图知网
搜索
首页
热门推荐
图片分类
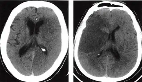
右侧大面积脑梗死,可见右大脑中动脉高密度征,提示血栓形成
下载原图
相关图片
常常急性起病,通常没有前驱症状但是有一部分脑梗塞,一后循环的脑梗死
指急性脑梗死后缺血区血管重新恢复血流灌注导致的出血,包括自然 - 抖
出现这些症状要警惕 | 健康总动员|中风|高血压|脑梗死|糖尿病|脑血管
佑三案例急性脑梗死发作佑三护理膏神力发挥的效
韩晓亮,男,35岁,右侧尾状核头出血破入脑室,急性梗阻性脑积水
[经典总结] "急性期脑梗死"的影像学特点及几个重要征象(建议收藏)
为你推荐
甲醇刚果红染色好奇怪啊-13
雅隐大号宽版男士银手镯999足银实心开口光面霸气简约个性刻字银镯子
天然葫芦瓢交杯合卺盛水瓢舀子绿色家用厨具米面勺花
皮肤病,背部有汗斑,皮肤又得了慢性荨麻疹容易痒,这要怎么办?
邢台隆尧:果农修剪果树忙
手绘腊八节卡通习俗插画
风光摄影:乐华城
天空背影简笔画素描小女孩抬头仰望天空简笔画素材人物仰望天空简笔画