图知网
搜索
首页
热门推荐
图片分类
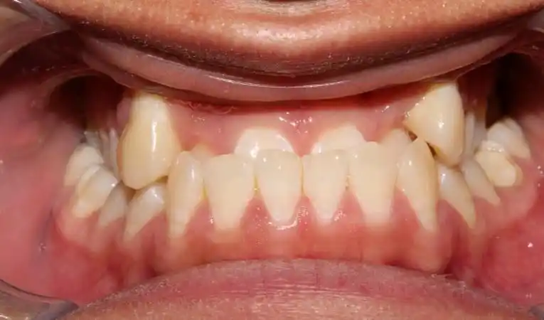
儿童地包天与哪些因素有关
下载原图
相关图片
儿童反颌矫正半年后又地包天是复发还是当初没矫正过来
其中地包天较为影响面部形象和咀嚼功能,发现牙齿为地包天时一定要
头条问答 - 牙齿咬合畸形能吹萨克斯吗?(3个回答)
牙齿地包天什么时候矫治
淮海医院口腔科,低龄儿童(地包天)乳前牙反颌一例
楼主今年17岁,高二,地包天,上医院检查说已经错过了最好的矫正年龄
为你推荐
动漫二次元可爱mm线稿人物图片动漫少女简笔画绘画教程,卡通女孩简笔
杨迪上《演员》徐峥却当场向他道歉?得知原因后为山争哥哥点赞
咒术回战动漫周边五条悟同款等身抱枕肌肉腹肌基友腐女双人长枕头
国羽传喜讯李雪芮恋情曝光另一半或已退役成羽毛球教练
海啸,火灾,龙卷风!这23张大自然的灾难照片太震撼
男生夏季日常穿搭分享
小米手机第一代,是当时最高端的智能手机.
植物名称:红丝姜花别 称:绯红姜花,金姜花,阔叶