图知网
搜索
首页
热门推荐
图片分类
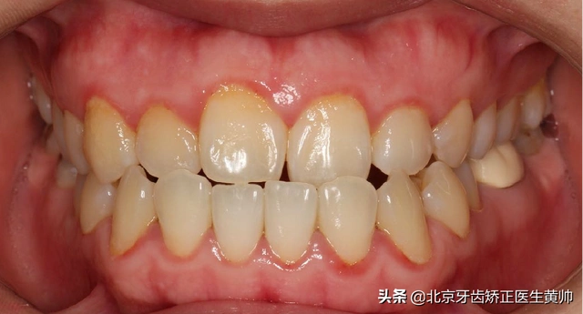
楼主今年17岁,高二,地包天,上医院检查说已经错过了最好的矫正年龄
下载原图
相关图片
宝宝牙齿出现"地包天"咋办?别错过"最佳治疗时间",家长牢记
地包天 正颌.一开始只是以为纠正上牙就好了,纠正了两次,看 - 抖音
儿童地包天与哪些因素有关
最勇敢的整牙小患者 3岁【地包天】
地包天怎么判断是骨性(怎么判断自己是不是地包天)-第1张图片
最勇敢的整牙小患者 3岁【地包天】
为你推荐
2021年秋天非常漂亮清晨早安问候唯美祝福图片 清晨早上好温馨祝福
ppt 简约,干净,清爽,小清新,背景图
死亡笔记的夜神月死了你们有什么看法
他唯一可近战射手,反秒兰陵王,站撸铠,吕布见面跑,却怕一辅助
陈乔恩因尺度太过无人敢演过气的她赶来救场却意外被捧成一姐
老!大叔头像
花都汽配城什么时候开业;花都批发汽车配件在哪里
中国的四大"故宫",你都知道几个?_宫殿_紫禁城_北京