图知网
搜索
首页
热门推荐
图片分类
男性生殖系统ppt
下载原图
相关图片
手绘腮腺组织切片浆液性腺泡分泌管红蓝铅笔图
教你分清真假水泡——假水泡(2)
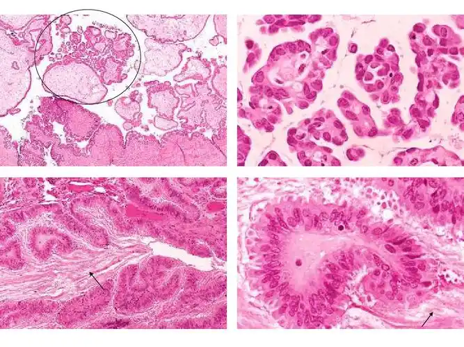
卵巢浆液性交界性肿瘤的病理诊断
高倍镜示正常乳腺腺泡
前列腺腺泡腺癌的病理形态特点
混合性腺泡,由浆液性腺泡和黏液性腺泡构成 ×640
为你推荐
赵丽颖身穿墨绿斜肩裙飘逸长卷发妩媚动人真是梦回许半夏
taohan女童汉服春秋款儿童超仙古装改良女孩汉服国风宋朝马面裙套装明
7,农家梳边肉
三国名将—诸葛亮历史小知识
什么是苹果演示机
鲨鱼哟成和平一哥?黄金档坐拥万人贵宾,虎牙弹幕榜雄踞第一
和宝妈说说笑笑,找产康王老师做身体恢复,参加了各种妈咪活动(瑜伽,花
字体的艺术一大波文字排版海报设计欣赏