图知网
搜索
首页
热门推荐
图片分类
混合性腺泡,由浆液性腺泡和黏液性腺泡构成 ×640
下载原图
相关图片
图30 混合性腺(下颌下腺) 1浆液性腺泡 2黏液性腺泡 3混合性腺泡 4
腺:浆液性腺(浆液性腺泡),黏液性腺(黏液性腺泡),混合型腺(两种腺泡)
浆液性炎症概念原因病理变化与结局
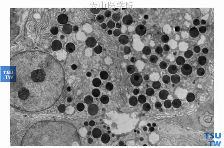
电镜下浆液性腺泡顶端充满分泌颗粒 ×14 000
所有分类 高等教育 医学 组织学与胚胎学--消化腺 ppt课件 浆液性腺泡
大唾液腺
为你推荐
钢琴谱完美版 独奏版苏打绿 流行弹唱网制谱者小朝音乐上传时间:2021
秋季新品上市简约活动促销黑金动态海报
开业气氛围布置周年庆店内新店面活动装饰生日气球装饰场景
黑白帅气动漫兄弟头像情侣
种植牙品牌详解之iti士卓曼straumann
深圳湾齿科门诊设计口腔门诊装修牙科门诊设计公司
动图 gif 壁纸背景 星空
生命不息奋斗不止手写复刻书房客厅茶室桌面禅意摆件相框摆台装饰