图知网
搜索
首页
热门推荐
图片分类
但是孩子体内的胆红素,已经高达30mg/dl(毫克/分升),情况已经非常危急
下载原图
相关图片
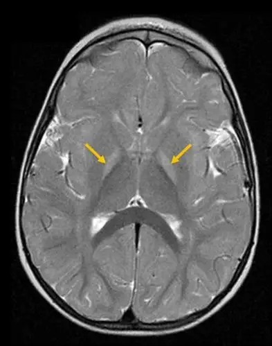
胆红素脑病的mri诊断
胆红素脑病,t2及flar高兴号
基底节区高信号提示胆红素血症对中枢神经系统的毒性作用是不可逆的.
胆红素脑病
新生儿高胆红素血症及胆红素脑病文献复习与mri诊断_结局
新生儿病理性黄疸可能导致核黄疸1分钟教你辨别病理性黄疸
为你推荐
凌宝儿
杨颖哭戏演技炸裂被章子怡夸赞上热搜为什么引起了观众的反感
【开封府】老张扎心三问
青你2男友视角下的孔雪儿甩发回眸一气呵成眨眼甜到心
图郭政鸿通臂猿猴剧照剧照欣赏带你重温tvb经典电视剧
60帧古惑仔靓坤有错就要认挨打要立正
复古汽车图片合集桌面壁纸第一辑高清大图预览1920x1080_汽车壁纸下载
丑女嘟嘟姐回归网络,疑似整容,网友:曾经吓人如今美的不像话!