图知网
搜索
首页
热门推荐
图片分类
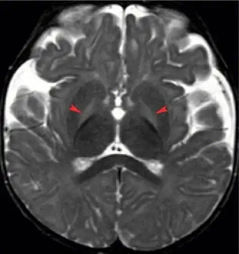
胆红素脑病的mri诊断
下载原图
相关图片
头颅mri胆红素脑病的特征性异常信号
新生儿 abo 溶血病现常用蓝光疗法,可减少血清总胆红素及间接胆红素.
【常见症状】新生儿胆红素脑病诊治
胆红素脑病
胆红素血症,在临床中十分常见,患儿的死亡率较高|黄疸|脑病_网易订阅
新生儿病理性黄疸可能导致核黄疸1分钟教你辨别病理性黄疸
为你推荐
原创李小璐真敢作妖红色液体裤配高跟鞋硬凹出162cm身高
红色精神代代传手抄报
39岁郭碧婷近况认不出!
6月吃这菜正当季2元一斤清热解毒养颜嫩肤不吃可惜了
jrs,求一张那个老婆回娘家,解放了的表情包,就是那张鸡一直跑的图片
侗族小伙42个创意字让人神游贵州
蓝天白云--东平
全国敬业奉献模范候选人林俊德:生命最后时刻仍在"冲锋"