图知网
搜索
首页
热门推荐
图片分类
朱姓汉字演变
下载原图
相关图片
遨游汉字王国之姓氏字体演变
杨字的演变.杨"字是形声字,始见于西周金文.甲骨文缺失,篆文 - 抖音
李姓的奥秘——神奇的古代象形字
汉字演变
赵字书写和演变
知道你的姓用甲骨文怎么写吗?感受汉字源头的魅力
为你推荐
武士头中性造型 | 攻气十足简单易操作版
玄霄觉醒部分门派技能全服优化
草莓熊系列壁纸
民国老照片:明信片式的新款发型美女,原版!
金矿石(包真)
925纯银珠宝万能扣吊坠扣头珍珠项链diy配件弹簧扣金色g18k金
strolling through ankeny national wildlife refuge
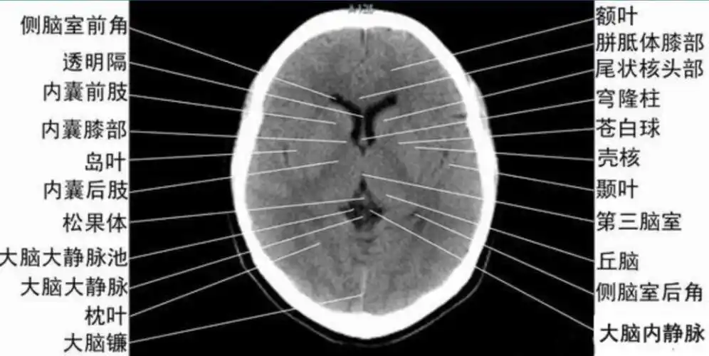
读懂头颅ct并不难教你成为读片小能手