图知网
搜索
首页
热门推荐
图片分类
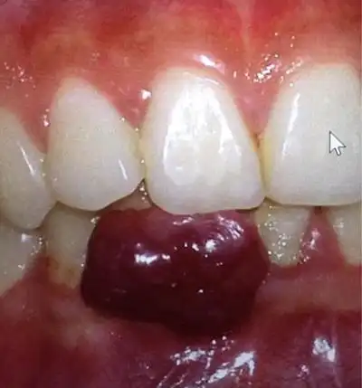
牙龈瘤
下载原图
相关图片
罕见巨大牙龈瘤一例
牙龈癌1例
是指发生在牙龈乳头部位的炎症反应性瘤样增生物,无肿瘤的生物学
是指发生在牙龈乳头部位的炎症反应性瘤样增生物,无肿瘤的生物学
牙龈癌
【病案】残留牙骨质母细胞瘤:牙源性肿瘤的罕见表现
为你推荐
金瀚海边秀肌肉荷尔蒙爆棚,胡可蔡少芬犯花痴,吉娜的反应好真实
青花瓷 儿童简笔画 青花瓷
柜门不要了,王大锤实锤#安利全世界最好的的肖战王一博 #博君一肖是
单身狗有感
鲨鱼壁纸
腹股沟区慢性疼痛的预防与治疗_疼痛 - 好大夫在线
三阶魔方层先法简明教程
巴伐利亚号战列舰:战争状态