图知网
搜索
首页
热门推荐
图片分类
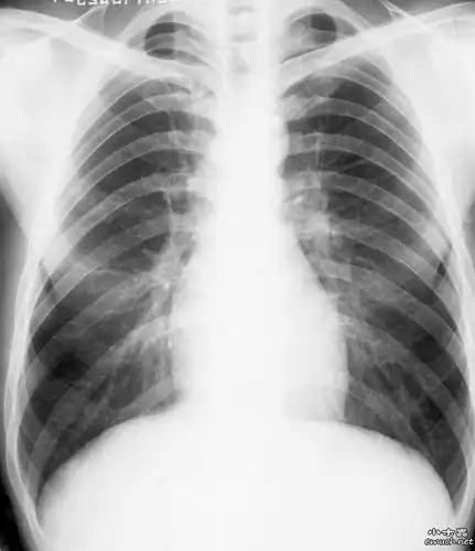
正常人的胸部
下载原图
相关图片
求助正常肺部x光片图片供教学用
肺部x射线图像
近两月来反复间断性发作刺激性干咳,偶有少许白痰,休息时人约跚.
肺部x光
67双肺感染属于感染性肺部炎症,如果患者需要进行卧床治疗,家属应
肺部正常和x线异常表现ppt
为你推荐
吴磊在《长歌行》中饰演的是一个英姿飒爽的武将,面具下是一张棱角
破茧
网红印尼小胖几babyjrsugiantotatan动图
小姑娘12岁锁骨骨折第三张是术后的皮肤
主食是馒头和米饭自选,我选了两个馒头
易经智慧心术不正之人脸上多半有这3种怪相八九不离十
高清唯美最好看的灯塔头像图片
全国艺术名家推荐中国近现代风景油画精品荟萃三期