图知网
搜索
首页
热门推荐
图片分类
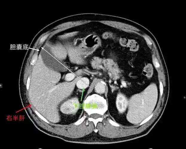
超赞!最全肝脏的表面解剖及分叶分段
下载原图
相关图片
影像解剖腹部ct断层解剖图谱(app).#热点 #ct#医学 - 抖音
【ppt】正常肝脏ct解剖 – 影像ppt
【ppt】正常肝脏ct解剖 – 影像ppt
肝门静脉左支角部断层面所示,标注为2的解剖结构是
couinaud肝脏分段系统ct图谱
结合解剖看腹部ct,轻松掌握肝脏读片!_静脉_水平_脏器
为你推荐
海马福仕达正时图片
羊齿状结晶,知多少?
抖音女生头像2020最火抖音滤镜气质女生头像抖音网红头像女高冷好看
多坏的人会被下十八层地狱?
自闭症孩子的4个行为特征
【1080p】《帝女花_香夭》任剑辉×白雪仙[全]
童蕾|田雨|古装剧|实力派演员_网易订阅
zhouyouyang澜溪原创【常羲和仪】刺绣复原女款汉服神仙图传统国风