图知网
搜索
首页
热门推荐
图片分类
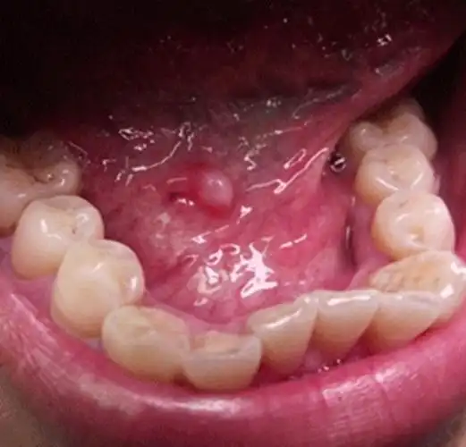
口腔囊肿 (24)_有来医生
下载原图
相关图片
舌下腺囊肿
小孩嘴里的假性囊肿,原来有黄豆大,现在变成一点点大了,是不是不要做
口腔粘液腺囊肿
这个是口腔腺体囊肿吗
看图诊断粘液腺囊肿
黏液腺囊肿为口腔黏膜小唾液腺导管阻塞后分泌液潴留而形成的浅表囊肿
为你推荐
千纸鹤的折法教程翅膀会动的哦
周震南音乐节粉丝大合唱##周震南音乐节
一组女生手绘小头像
在恢复运营初期,上海迪士尼乐园将控制每日入园游客量,并实施额外的
项目铅球体育运动扁平化图标白色背景有字
住院证
马嘉伶2022年5月美图
羽毛球协会图片-羽毛球协会素材-羽毛球协会插画-摄图新视界