图知网
搜索
首页
热门推荐
图片分类
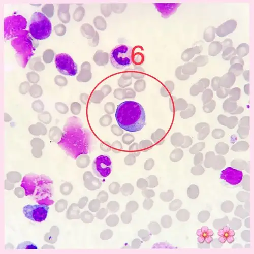
其它 基础细胞图片 写美篇答案:早幼红细胞 形态特征:胞体呈圆形或
下载原图
相关图片
中幼红细胞 13
血细胞图谱大全ppt
实验诊断学 晚幼红细胞
其它 基础细胞图片 写美篇答案:中幼红细胞 形态特征:胞体呈圆形;胞质
细红 胞白细 血细胞
外周血中有核红与幼稚粒
为你推荐
小马宝莉 彩虹小马 mylittlepony mlp 柔柔 拟人 id=53783933
业态规划:齐全品牌与舒适空间之间的取舍
头条问答 - 我三哥得了精神分裂症,现在有很严重的抑郁症,想自杀怎么
今日分享丨zeenchin 马来西亚插画师,原画师
消防飞机救火简笔画
满清十大酷刑最恐怖的是什么满清十大酷刑之蒸刑蒸刑过程会把人蒸熟吗
金牛座75头像
oj辛普森去世抢劫家暴官司缠身从nfl传奇球星到臭名昭著的杀妻嫌疑人