图知网
搜索
首页
热门推荐
图片分类
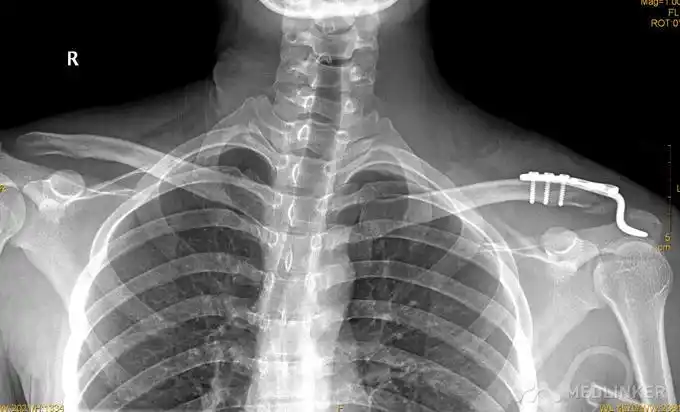
遇到肩部外伤时有必要做肩关节ct吗
下载原图
相关图片
肩关节正位
肩部x光片
肩部骨架图片
肩肱骨骨折,有x光片,请医生咨询
左锁骨肩峰端骨折
人类肩关节的x光片,显示上臂的肱骨,锁骨(锁骨),肩胛(肩胛骨)和胸腔.
为你推荐
我们都知道爸爸很辛苦,我们画了一张"爸爸",爸爸辛苦啦
肖的艺术字 肖头像图片 肖的笔顺 肖字组词_艺术字网
求作图大神帮我把这个图改成炫舞的动态头像
超火超好看的背影头像男生
情侣头像 #头像 #画画的日常
加油的图片满满的正能量,努力加油致自己图片
王力宏写真高清桌面壁纸
标题:青城山游览全记录(二)