图知网
搜索
首页
热门推荐
图片分类
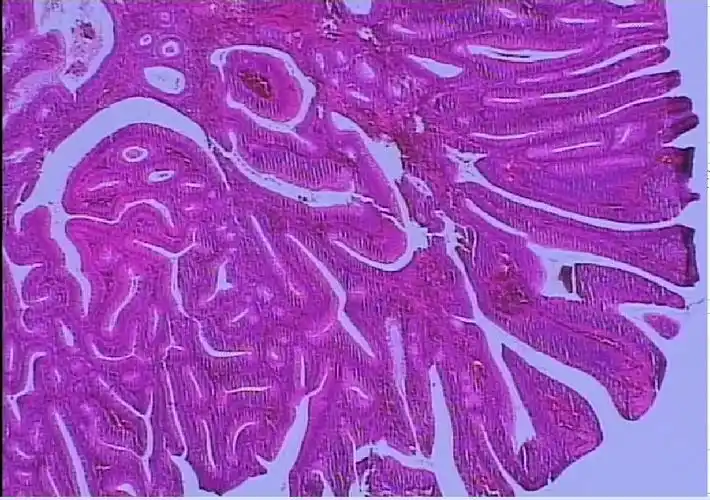
3,管状-绒毛状腺瘤占腺瘤性息肉的10%左右,管状结构和绒毛状结构所占
下载原图
相关图片
我怎么5年就癌变了?
回盲部绒毛状管状腺瘤一例
零基础学病理-- 管状-绒毛状腺瘤
绒毛状管状腺瘤
注射圈套创面6767图 管状绒毛腺瘤,局灶高级别内瘤变iv型 是指沟
直肠绒毛管状腺瘤一例
为你推荐
树木草地与郁金香花卉摄影高清图片
时尚毛呢格子套装女2022年春秋季新款韩版气质西装外套短裤两件套
山上的日出——405班张博宇
小医仙太有感觉了
明朝万历皇帝的大伴太监冯保的人生轨迹
李春天的春天
王者荣耀 韩信 飞衡 - 堆糖,美图壁纸兴趣社区
武士俑也罢,跪射俑也罢,包括驾驶战车的"老司机俑",头上只戴着一种