图知网
搜索
首页
热门推荐
图片分类
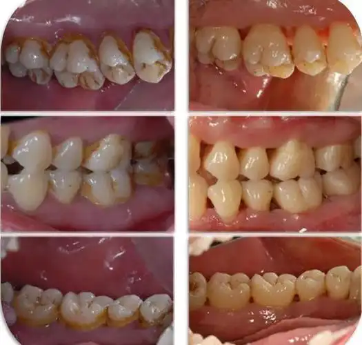
成人慢性牙周炎系统性治疗一例 | 以菌斑控制为导向的牙周治疗2018
下载原图
相关图片
成人慢性牙周炎系统性治疗一例以菌斑控制为导向的牙周治疗2018病例展
成人慢性牙周炎系统性治疗一例 | 以菌斑控制为导向的牙周治疗2018
典型慢性牙周炎图片
快查牙周炎牙齿松动了能恢复吗
成人慢性牙周炎系统性治疗一例以菌斑控制为导向的牙周治疗2018病例展
为什么牙周炎症越早治疗疗效越好?武汉第一口腔告诉你答案
为你推荐
[已售] 逢赌必赢 背只进不出
"揭秘羊群之谜:反胃与吐草背后的生理奥秘和养殖智慧"
篮球板
审核文件成堆的文件工作堆放在办公桌上的文件,业务文件的计费和审核
尚品云花 多头玫瑰橙色 果汁泡泡 10枝/扎全店满200元包邮 b级
川剧变脸脸谱
9 思织沁儿童发育期少女内衣中大童纯棉文胸女童基础背心轻薄透气
哪位朋友知道错版邮票一边无齿孔的价格