图知网
搜索
首页
热门推荐
图片分类
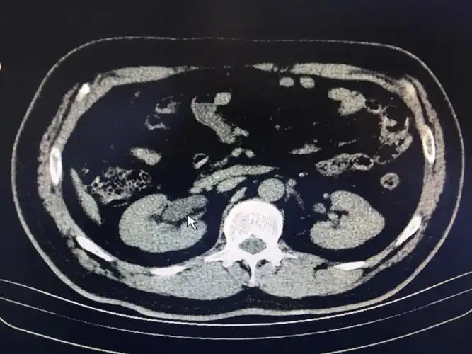
腹腔积液的良恶性表现与鉴别
下载原图
相关图片
男子听信偏方灌肠治便秘 直肠破裂差点送命
腹部ct扫描提示右肾中度积水,右输尿管扩张明显.
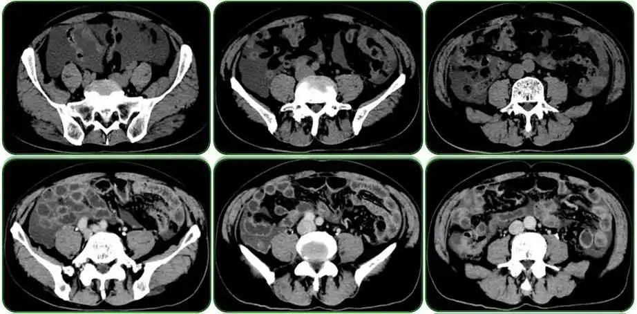
3个病例8副图带你读懂腹水
腹腔包裹性积液?
【讨论】大量盆腹腔积液,探讨病因81579
手术后第 天 ct 检查提示大量腹水
为你推荐
蔡徐坤ins##内娱天选理想型
朴秀荣ins更新
她不是被老虎咬伤的女子她是名副其实的歌者
数字描红字帖
缝针缝合收针法 - 樱子 - 我的博客
图日本高焦铁罐和平无嘴peace香烟
银川丽水幼儿园·课程体系】大二班区域活动——建构区·雪花片
卡通可爱简约手绘壁纸聊天背景