图知网
搜索
首页
热门推荐
图片分类
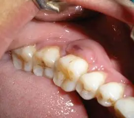
牙龈上长脓包,看你还敢不敢自己乱挤了!
下载原图
相关图片
牙周脓肿一例 - 好大夫在线
还有两周该生了,牙龈肿的不成样,还化脓了好像
牙周脓肿
自己刺破牙龈脓包会不会有问题?
牙龈肿痛牙周脓肿怎么办
牙齿旁边长脓包图片_39健康网
为你推荐
燃烧中的一支烟
壁纸分享,美女与十二生肖的搭配,是不是很漂亮
宣传单 郎酒瓶 背景花纹底图 红花郎 青花郎 郎酒标志 dm宣传单 广告
凌晨3点,最美"俏黄蓉"翁美玲死于家中,法医用5层锡纸包裹尸体
和男人有关的六种妇科病
飞机简笔画彩色图片 儿童画飞机简笔画图片大全
北京汽车佛山东富4s店>北京越野>北京bj40>2021款2.
白色方案,二战中百万德军闪击波兰,英法百万军队陈兵不动