图知网
搜索
首页
热门推荐
图片分类
在微观舞台上,神经元细胞舞动着生命的旋律.
下载原图
相关图片
▼ 2017513:移行上皮细胞(表层)
来源于肾盂,输尿管,膀胱和尿道近膀胱段等处,分为表层移行上皮细胞
上皮细胞图片
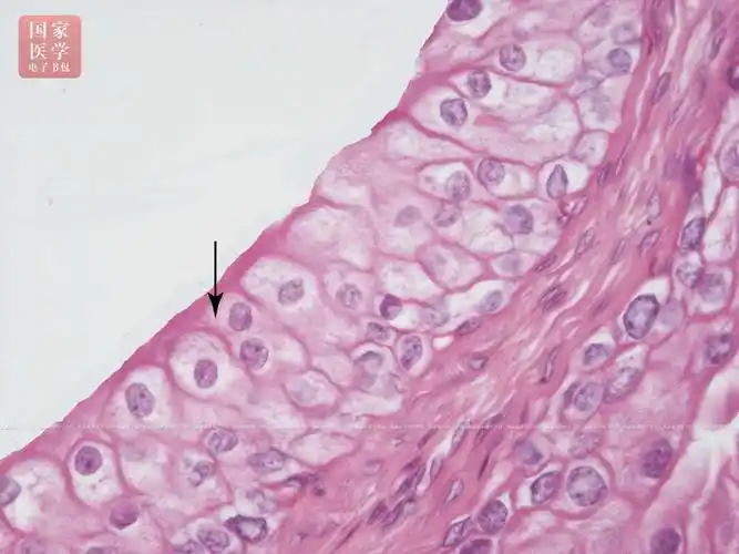
复层柱状上皮stratified columnar epithelium:数层细胞,浅层细胞呈柱
扁平上皮细胞鳞状上皮细胞 squamous epithelium 即表层扁平上皮细胞
复层柱状上皮stratified columnar epithelium:数层细胞,浅层细胞呈柱
为你推荐
微信表情意思全解图片使聊天仅仅单调文字叙述有些
组图男人四十一朵花冯德伦最新写真皱纹也是味道
倪妮宸汐缘唯美海报剧照图片壁纸倪妮唯美宸汐缘剧照
乐高机械组 42075 紧急救援车 lego technic 积木玩具收藏
(新华全媒 )第三届中非经贸博览会在长沙开幕_国际会展中心_中国_高桥
330碾米机砂轮黄豆玉米专用棕刚玉砂轮大头315小头278高200
lol阿狸高丽风情皮肤高清壁纸图
葫芦丝常用指法简图介绍