图知网
搜索
首页
热门推荐
图片分类
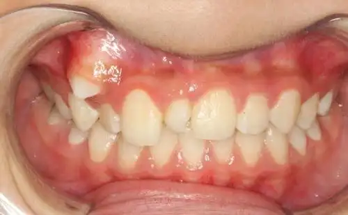
7岁男童因多生牙拔牙昏迷40天,难道父母不该好好反思下么
下载原图
相关图片
四岁半多生牙出现
小孩多生牙要怎么办
推荐阅读:苏州孩子多生牙该不该拔
多生牙长出的位置不好应该要拔除吗
"双排牙宝宝"越来越多,背后原因或跟家长有关,尽量别大意
多生牙(上颚两中门牙间)supernumenary tooth (mesiodens)
为你推荐
水仙
宋亚轩露营库存
《浴血黑帮》(×)《肺癌黑帮》(77)汤米混剪
可口可乐推出全新包装设计
jomoo九牧 浴缸亚克力浴缸浴室浴盆普通浴缸 其他y030212【价格 图片
第四周 第九周 第十二周 第十六周 第二十周 第二十四周 第二十八周
我己迷恋上阿柒了,哪个帅?你们自己决定
珠宝鉴定 翡翠玉石和田玉鉴定师在线鉴定真假评估价值钻石宝石