图知网
搜索
首页
热门推荐
图片分类
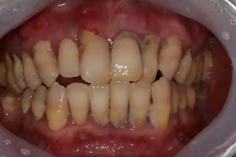
我自己把牙结石抠下来了,是不是就不用去洗牙了?
下载原图
相关图片
图注:轻度牙结石陈医生提醒:"这些破坏性的活动是缓慢而漫长的,并不会
【健康科普】尴尬!聊着天,突然牙结石掉出来了
牙结石
牙结石牙齿calculusdental
你有牙结石吗?
也没有看到牙结石,为什么还要洗牙来清除
为你推荐
如果一个满意自己脚的女人能向沈月学习,那么内衣失踪的穿着方式就能
头像 女卡通动漫 手绘 美女侧影 高清头像 头像收集社 自动发货
出差申请表模板
特色英语作业designamenu设计菜单
海贼王索隆也是霸王色强者5条索隆必然觉醒霸王色的理由
《爱丽丝》迪士尼公主
北斗星美术————周六早上美学启蒙班第一节课《可爱的毛毛虫》快来
的巨大变化,希望在我们一代代华夏儿女的共同努力下,祖国能够更加繁荣