图知网
搜索
首页
热门推荐
图片分类
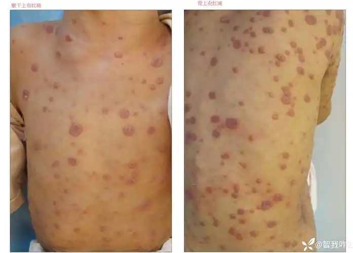
皮肤长癣的症状图片
下载原图
相关图片
体癣属于常见病,春夏季节潮湿闷热环境多发,控制体重可预防
湿疹样型癣菌疹脚背小红疙瘩图片
丁香园论坛>皮肤性病>帖子详情>简要病史:在躯干和四肢(包括手掌)出现
体癣属于常见病,春夏季节潮湿闷热环境多发,控制体重可预防
牛皮癣全身起了很多
免疫功能低下,皮肤长期处于温暖或潮湿的环境中,肥胖,多汗等因素都有
为你推荐
公司励志标语展板真诚图片(4134x6496(dpi:150))psd模版下载
皮卡丘
动漫|宠物|皮卡丘_新浪新闻
男生头像温暖治愈系真人因自太帅没人敢爱
一例不知是何疾病的足部畸形病例?请教各位
深圳中学初中部怎么进?
城俱杯 app h5投票活动页
咽喉炎,咽后壁都是滤泡,然后还有扁桃体一度肿大,我该怎么办!急急急!