图知网
搜索
首页
热门推荐
图片分类
16:2435迷你世界抄袭我的世界的证搜索全部视频问答图片小 - 抖音
下载原图
相关图片
迷你果然抄袭,这张图原来是我的世界喷迷你世界用的_我的世界 | 大神
盘点迷你抄袭mc的5大证据第1个让人无法反驳老mc认输吧
迷你世界抄袭我的世界的证据
迷你世界抄袭我的世界的证据一怪物
迷你世界有没有抄袭我的世界?
简单飞机和mc抄袭迷你世界的证据一
为你推荐
27岁未婚女征婚照片(id:72791868)_贵州毕节征婚交友_珍爱网
唐嫣 锦绣未央
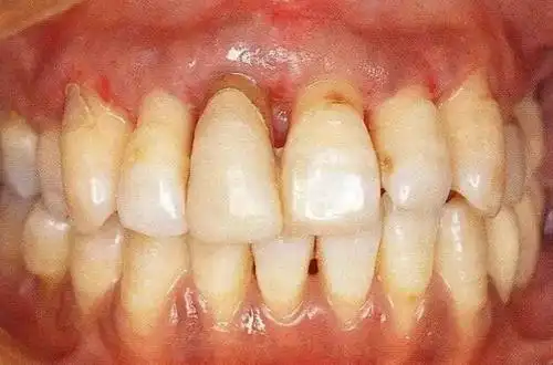
深牙周袋的治疗技术图解
彭小苒|曲小枫 cr.夏末心动·鞠婧祎 - 堆糖,美图壁纸兴趣社区
女头动漫头像可爱闺蜜赞评论20更多所有评论你也来说些什么吧
黑白色系的简笔插画形象你学会了吗受小朋友喜欢的卡通形象简笔画麦兜
水彩笔晕染画莲蓬轻松学会画一幅创意儿童画
【2019年6月中级评茶员,中级茶艺师认证】