图知网
搜索
首页
热门推荐
图片分类
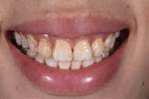
牙齿敏感和口腔异味等症状
下载原图
相关图片
牙齿的酸蚀症是怎么回事?_汕头口腔医疗中心
珠海维港口腔~牙齿问题图片,看看自己有没有这种问题#牙齿07 - 抖音
您的牙齿出现这一症状应及时矫正!
四环素牙的具体症状
作为最直观的口腔问题之一,牙齿畸形的症状一目了然,不仅影响着颜值和
我这牙齿是什么毛病,黄色的地方用指甲戳,感觉软软的陷下进去,有酸酸
为你推荐
qq企鹅头像官方新版最原始qq企鹅头像
绘画 #女生头像手绘 #板绘 #鸭风卡通头像 #手绘头像约 - 抖音
蒙迪欧(2.0l duratec-he)发动机正时校对_搜狐汽车_搜狐网
强壮男子手臂彩色蛇纹身图案大全分享!
黑子的篮球# #青黑# 黑子哲也 青峰大辉 p站画师 もg/ inumog(犬型)
胸怀祖国放眼世界初二地理手抄报展
医生妈妈看到女儿成绩气出脑梗网友成绩全加起来没我血压高