图知网
搜索
首页
热门推荐
图片分类
朝天门广场摩天大楼已经建成:作为重庆市的新地标必将长存几十年
下载原图
相关图片
重庆朝天门谁设计的
朝天门广场 - 重庆游探长 - 图虫
国庆重庆朝天门
朝天门广场 - 重庆游探长
朝天门广场,位于重庆市渝中区的东北部,渝中半岛的顶端,这里地处长江
走进重庆朝天门广场2019.10.13
为你推荐
易烊千玺20132021微博自拍超全合集这些年易烊千玺的自拍信息量太大
差点以为是真的,这届网友p图真厉害|张翰|郑爽|复合_新浪新闻
黑白壁纸
种最火短发送给大家(短发图片女2020最新款发型)"
新疆明星美女有哪些(娱乐圈的五大维吾尔族美女)
为家操劳了大半辈子的她,最近一两年右肩膀经常疼痛,时轻时重.尤其是
mk5钢铁侠全身简笔画教程 简笔画图片大全-蒲城教育文学网
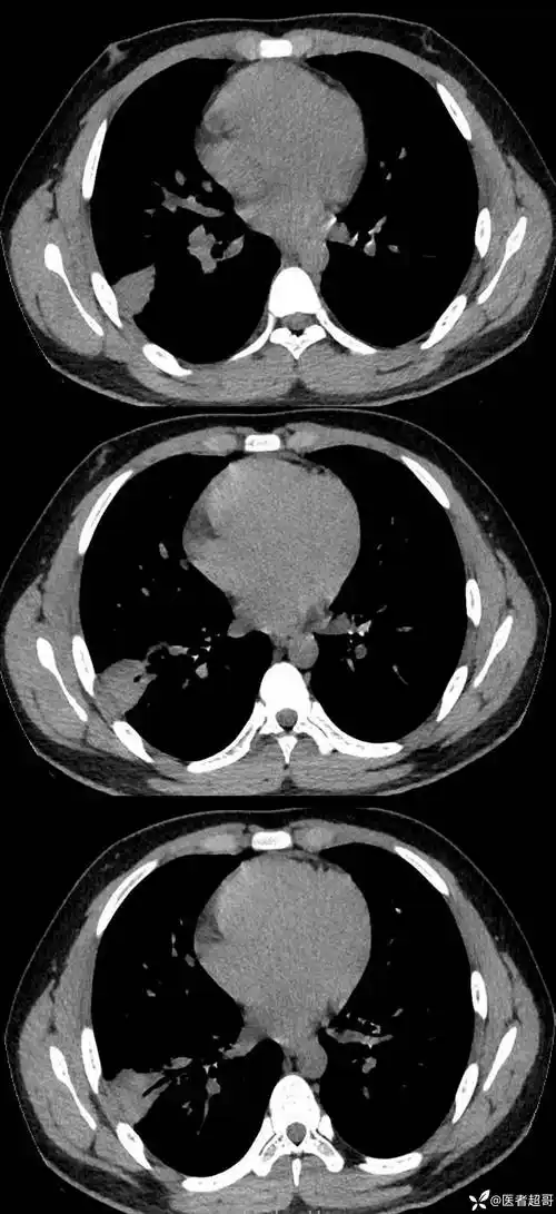
双肺下叶高密度伴充气支气管征象请分析