图知网
搜索
首页
热门推荐
图片分类
星际牛仔cowboybebopunderthesheetsnil02wh
下载原图
相关图片
星际牛仔壁纸
星际牛仔将改编为电视剧
【星际牛仔】属于一个时代的浪漫 spike
坛友有在用攻壳和星际牛仔壁纸的么
【4k60帧】星际牛仔op
星际牛仔动画图片动画星际牛仔赏金猎人电视动画
为你推荐
这辈子最亏欠的就是父母
小公主简笔画来了,你们觉得哪个最好看
杨幂游泳,身材确实好
半束发公主头
城市道路网规划
他和郭艾伦齐名,昨夜主宰比赛,比双外援更高效,却才刚满23岁
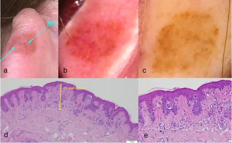
外耳黑色素瘤的皮肤镜表现_医学界-助力医生临床决策和职业成长
教学装备-珠海市斗门区和风中学