图知网
搜索
首页
热门推荐
图片分类
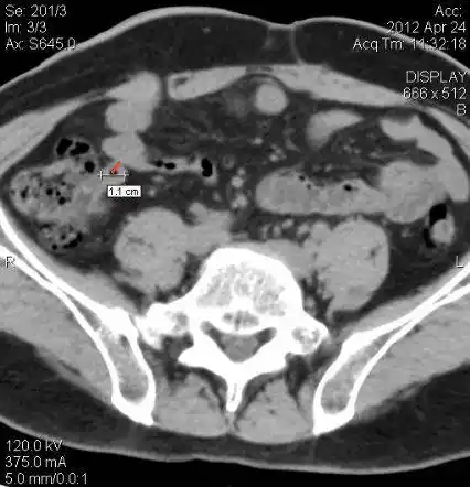
急性阑尾炎的ct表现
下载原图
相关图片
阑尾炎的ct诊断
全面详解正常阑尾和阑尾炎的ct表现
10幅图教你学会在ct片上找到阑尾!_手机搜狐网
全面讲解正常阑尾和阑尾炎的ct表现
学习阑尾炎
全面讲解正常阑尾和阑尾炎的ct表现
为你推荐
宋佳现任老公和儿子 宋佳的坎坷感情经历
日式明太子黄油炒饭
还是刚出来的时候是男式的?为什么百度都没有一带布鞋
微博热推大赛##畅游宁夏 渝宁同行##宁夏旅行
中国风国潮景物景观物件绿色如意
多肉植物组合盆栽
【姜涩琪】主舞竟然唱了半首歌?psycho四人改编版完整高清直拍
风华正品特价5k431压敏电阻/风华直插压敏电阻器5mm 430v压敏电