图知网
搜索
首页
热门推荐
图片分类
我又仔细观察了教材中的图片,数了数,图片中的臼齿确实是20颗.
下载原图
相关图片
第二臼齿能不能拔
第二双尖牙有换吗?
孩子换牙,吃什么食物好
一,关于双排牙的科普
大臼齿长不出来怎麼办
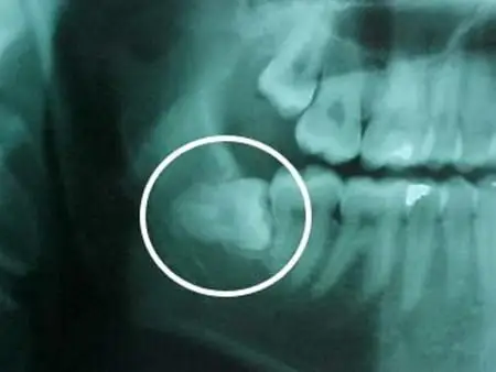
通常智齿萌发的空间不足,而会倒在第二大臼齿上,因而造成第二大臼齿
为你推荐
王俊凯头像
有翡赵丽颖红衣美赵丽颖9套古装红衣知否优雅花千骨邪媚霸气
戚薇李承铉《我家小两口》第九期图片 - tt98图片网
新鲜冷冻安康鱼肝深海鮟鱇鱼肝鱼杂海鲜鲜活安康鱼的肝3斤 发顺丰
350_280gif 动态图 动图
《创世纪》叶荣添教人如何做事,《流金岁月》丁善本教人如何做人
生日文案 背景图 朋友圈说说配图
270_405竖版 竖屏