图知网
搜索
首页
热门推荐
图片分类
我睡了你也早点睡qq表情包斗图表情
下载原图
相关图片
早点睡觉爱你
蘑菇头 床上 躺着 没事就早点睡吧
今天早点睡,不熬夜了 - 都是骗人的哟_动图_搞笑_床表情
原来你说的早点睡是吃了早点再睡
宝贝早点睡宝贝晚安库洛米表情包系列库洛米卡通表情
今晚早点睡几大谎言表情包
为你推荐
声母【b】
那些年英女王伊丽莎白二世戴过的华丽项链:钻石篇|耳环|吊坠|珠宝
卡通风格伴郎伴娘头像_微信头像图片大全
两只老虎吉他谱(图片谱,独奏)_小蓓蕾组合_两只老虎(指弹独奏).jpg
主视角驾驶兰博基尼svj
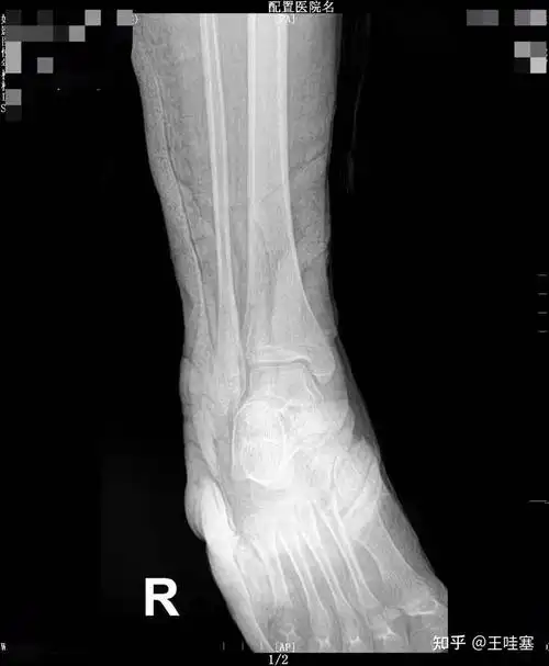
轻微骨裂拍的x片 看不懂 请问已经好了吗?
那些小时候吃过的雪糕你还记得吗?_手机搜狐网
苏教版音乐一年级下册《勤快人和懒惰人》课件【ppt课件】