图知网
搜索
首页
热门推荐
图片分类
小伙囊中羞涩,把家里仅有的面包车改造房车,媳妇看到后合不拢嘴
下载原图
相关图片
小型面包车改装成露营车是否可行,平时自己家用代步上班,周末假期带上
房车|座椅|新车|滑雪板_网易订阅
面包车改房车需要办理什么手续
小面包改房车之金杯750mpv的改装设计
这辈子再也不想打工了,我用积蓄买了一辆面包车改成房车,过上了旅居
面包车改装复古房车
为你推荐
小清新壁纸 #朋友圈封面背景图 #绿色系养眼壁纸
抖音文字锁屏壁纸收集一些短句子壁纸
迪丽热巴吴磊
《琉璃》今日甜蜜收官,成毅袁冰妍迎圆满大婚
狮子座梦幻神秘手链黑色海报背景仅限学习交流使用范围暂无授权授权
招来钱财,助人求财得财的法术,有道教招财法术,民间招财秘术,符咒招财
肠画短说十男九痔但你真的了解痔疮吗
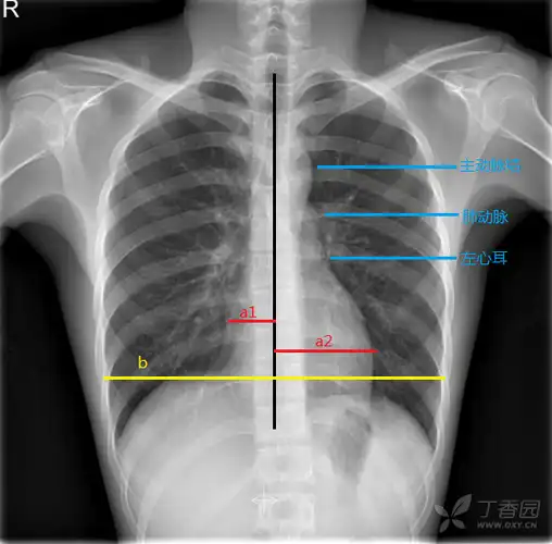
1-1 正常胸部 x 线平片(后前位)