图知网
搜索
首页
热门推荐
图片分类
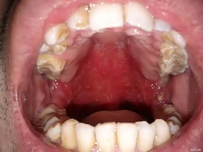
黏膜白斑口腔毛状粘膜白斑2022已更新今日图集口腔白色角化病是什么
下载原图
相关图片
【求助】口腔黏膜病变 [病例帖]
口腔黏膜病背后的"大boss"——全身性疾病_成都口腔黏膜科|成都平安
【求助】口腔黏膜病变 [病例帖]
各种口腔黏膜病图片_有来医生
口腔黏膜长了斑,小心癌变!99%的风湿科医生都分辨不了!
化疗出现口腔粘膜炎把控住这几个要点轻松防治
为你推荐
恋姬无双游戏动漫美少女高清壁纸
福州居住主题公园500平独栋别墅诚意出售
蓝色技术背景与网格线
kt板展架立式海报架子展示架落地式立牌支架广告架子门口pop展架土豪
我的mpv艾力绅使用感受
17年五座五菱宏光s五座面包车出售
猪猪侠帅气头像
脚痛风不能吃啥