图知网
搜索
首页
热门推荐
图片分类
网状纤维染色
下载原图
相关图片
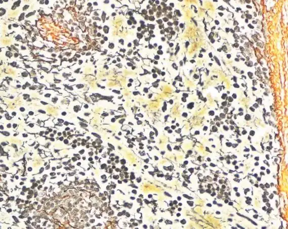
图3-1-5网状纤维(银染,高倍)视频3-1-2嗜银纤维最后修改: 2016年07月
网状纤维染色液改良gomori氨银法
银染见网状纤维分布于梭形细胞之间并围绕血管腔隙; vimentin,erg
网状纤维染色试剂盒改良gomori银氨法的应用
morri染色法:网状纤维染色法在临床上主要用于未分化癌和淋巴瘤的区别
位于核心的弹性蛋白 外周的微原纤维(由原纤维组成)lm:he染色显淡红色
为你推荐
可是电视剧《北京人在纽约》拍摄于1993年,那时的王姬只有31岁,正当
苏格兰猎鹿犬出现在苏格兰,几个世纪前它成为皇室品种,不能归伯爵以下
好想吃
大宝绘画三国演义人物图 - 抖音
胸腔镜下右肺上叶切除术
zip轿车盘式制动器设计 00装配图.png--点击预览 a0-制动器总成.
16个哲学悖论|哲学家|柏拉图|二分法_网易订阅
别了,57座以上大客车及卧铺客车