图知网
搜索
首页
热门推荐
图片分类
看图识细胞(第45期)_颗粒
下载原图
相关图片
早幼粒细胞
注: 以颗粒的特性划分嗜酸性,嗜碱性,中性粒细胞,自中至晚,杆,分叶
▼「中幼红细胞」形态特征:胞体呈圆形或椭圆形,胞核圆形,约占细胞的1
儿童中性粒细胞百分比偏低是什么原因导致的
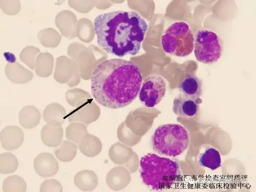
外周血,瑞氏染色 早幼粒细胞/中性中幼粒细胞 20180203 箭头所指"
点击空白处查看答案中性中幼粒细胞
为你推荐
回顾王耀庆靠演技演活霸总娶小学同学郭晏青21年宠妻如宝
小个子女生的休闲穿搭日记-身高1.56搭配参考
抗日战争研究抗日神剧无法推动抗战叙事误导受众历史观
【动漫壁纸】这么可爱一定是男孩子 赏析
新款阳光少女品牌儿童泳衣 碎花裙式平角裤大童泳装女连体泳衣
拼音和声调,粤语的博大精深.
5tone五门版>mini-mini-2023款-2023款 1.5t one 五门版- 整车外观
雪糕模具家用冰棍冰棒冰淇淋冻冰块盒冰糕冰格硅胶自制冰盒速冻器