图知网
搜索
首页
热门推荐
图片分类
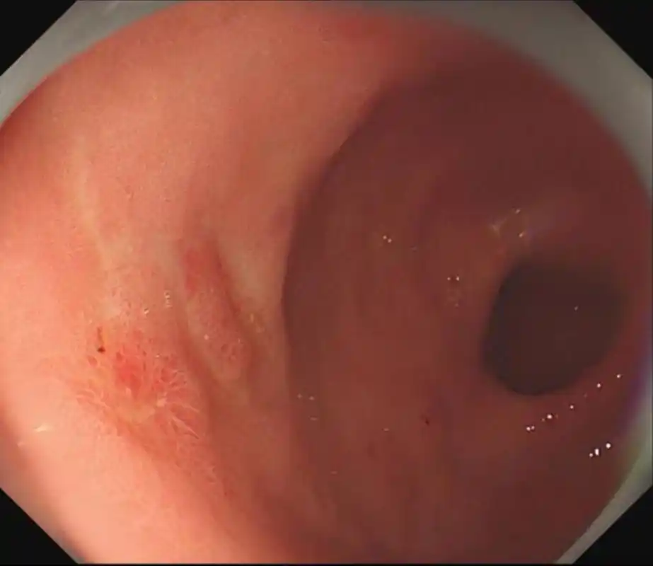
早癌筛查放大胃镜发现早癌,不仅帮助确定哪些病变可以
下载原图
相关图片
沧县医院外三科 (微创外科)之腹腔镜胃癌根治术
早期胃癌的微创治疗
一例早期胃癌病例分享
2014中国早期胃癌筛查及内镜诊治共识意见
胃癌早期可以治愈好么?
早期胃癌的放大胃镜图片
为你推荐
剪"奶奶灰"短发的梁静酷到飞起,一身干练白西装又美又飒!
时代少年团夏日运动会图源logo 好可爱好可爱
567景德镇各个厂家年限款识大全
斗罗大陆:相思断肠红占了半集时间丝毫不过分
家用天然气管道漏气超压欠压自闭阀dn15管道安全保护阀灶前自闭阀
君子兰焦尖黄叶,剪掉后多做一步,轻松搞定 君子兰养护小知识 病虫害
姆巴佩领衔,欧洲足坛近两年来数据最耀眼的10位超级新星
24伏拖拉机线路怎么接