图知网
搜索
首页
热门推荐
图片分类
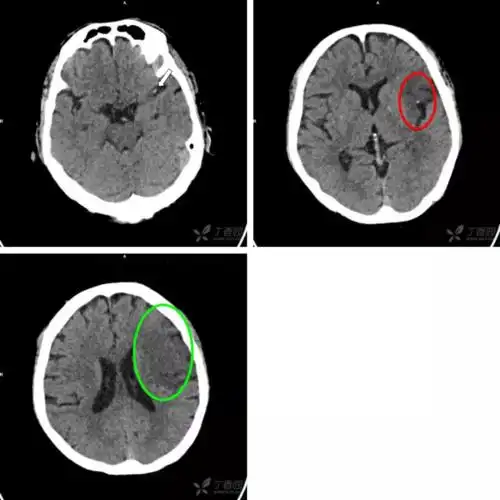
6个病例学会脑梗死的4大ct征象
下载原图
相关图片
术后第二天复查ct,见血肿清除理想,但右侧大脑半球出现大面积脑梗塞
67超急性期大面积脑梗死ct平扫表现
ct显示右侧豆状核轮廓模糊,接诊医生根据临床表现,怀疑急性脑梗塞.
67超急性期大面积脑梗死ct平扫表现
67超急性期大面积脑梗死ct平扫表现
6个病例学会脑梗死的4大ct征象
为你推荐
标准杠分区教程示意图 标准杠分区教学
眼睛哭的图片伤感,眼睛流泪的图片伤感-图片大观-奇异网
复式美式混搭风阁楼装修效果图
黄色手绘国潮古风中国风祥云元素png素材
河源巴伐利亚·木屋温泉6号墅丨2房2床
猪年大吉卡通画psd素材 - 爱图网设计图片素材下载
古诗配画《山行》《夜书所见》
美女不愧是资深hr,这数钱的手速太快