图知网
搜索
首页
热门推荐
图片分类
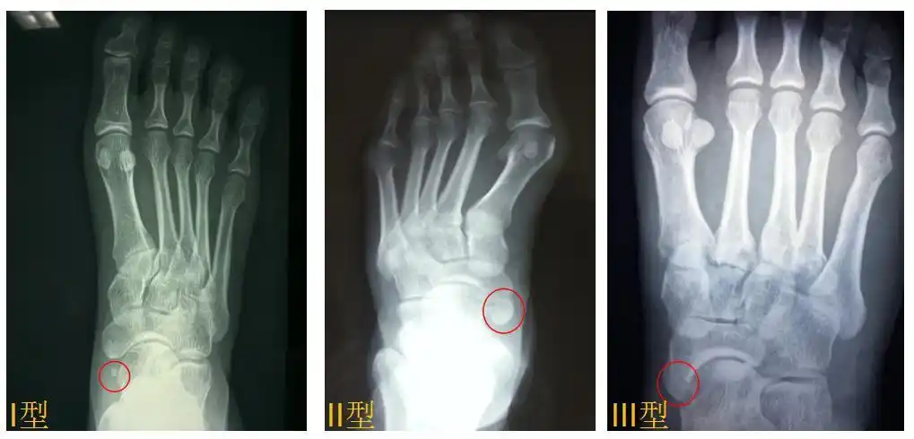
卫生社团足痛隆起畸形当心副舟骨疼痛综合征在作怪
下载原图
相关图片
儿童足部副舟骨的治疗_先天性足畸形_先天性足畸形治疗方式 - 好大夫
画一直线连接两点,接着在足舟骨(足弓内侧最突出的骨头)部位画一点
足的副舟骨是什么梗看完这篇文章就全明白了
儿童足部副舟骨的治疗_先天性足畸形_先天性足畸形治疗方式 - 好大夫
足舟骨科普篇
足内侧突出(副舟骨损伤)_踝部扭伤_症状表现_检查_治疗方式 - 好大夫
为你推荐
马尼拉生日会
女生高冷头像真人侧脸,黑化女生头像高冷黑色真人
dedecms织梦内核艺术字体在线生成转换设计源码三色源码仿站定制版带
4本互宠纯爱小说,清冷校草受vs沉稳禁欲攻,就是想要宠着你
命运之夜 二次元 红a
少儿舞蹈技巧胸倒立训练一看就会有木有
辟xie的甲鱼头骨车挂件
晓梦