图知网
搜索
首页
热门推荐
图片分类
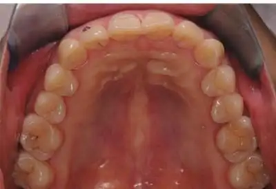
口腔美学临床影像规范介绍和解读_kq88口腔管理网
下载原图
相关图片
国际音标基础1.ppt
j音的构音训练
口腔硬颚肿块麻烦各位医生帮忙看下
口腔美学临床影像规范介绍和解读
刺豚,又称小硬颚鱼.
世界上牙齿最硬的动物鲨鱼咬食压力达18吨10年换2万牙齿
为你推荐
回顾邵峰:2岁拍戏红透80年代因身高被拒收,转行导演消失娱乐圈
不要看如今的宋丹丹不修边幅,当年的她漂亮到倪萍都被比下去了
大家所知道的徐锦江是一位演三级片出身的演员,印象中他也只是在电影
民族团结
许吉尔六尺横幅小写意山水画作品云壑流泉匠心独运精益求精
王治郅
张新成秋日慵懒大片#张新成居家男友风写真 chic杂志九 - 抖音
【倒霉死勒】40w粉直播-4