图知网
搜索
首页
热门推荐
图片分类
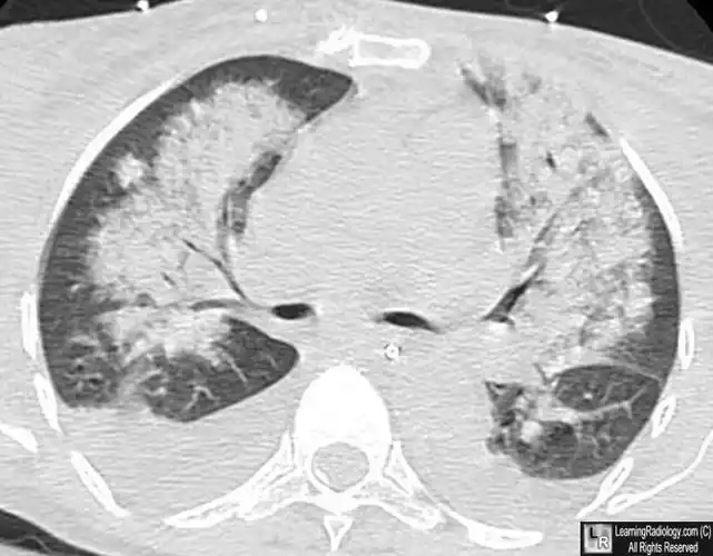
其x线可表现为肺泡性或间质性肺水肿.↑ 男性,65岁.肾衰肺水肿
下载原图
相关图片
经典影像之急性肺泡性肺水肿
图4 肺泡性水肿ct扫描.双侧肺门气道病变几乎对称(有空气支气管征).
f,45,心源性肺泡性肺水肿.双肺内中带分布.
什么是复张性肺水肿?
肺水肿的影像学表现
不同类型肺水肿的ct表现
为你推荐
鼎毳貂汉服男古装男武侠中国风仙气唐装款式十一2xl码身高178183体重
附录:emoji表情对照代码表
【朱志鑫】腮腮肉时期的可爱小棍
奶茶店logo及卡通形象设计|平面|标志|郑正 - 原创作品 - 站酷 (zcool
欣赏自然美好:船来了西湖断桥白娘子带你看风景汉服
为爱痴狂简谱(歌词)_咖啡猫姐妹演唱_小叶歌制谱
兴趣 绘画 6分钟教你学会素描水珠 | 玩艺课堂这张作业整体控制的蛮好
如懿传 乾隆 霍建华