图知网
搜索
首页
热门推荐
图片分类
曾黎结婚了吗曾黎老公的名字吴军是现任男友吗
下载原图
相关图片
曾黎美图23
曾黎和吴军
曾黎老公,富大龙饶敏莉,本文共(1434字)
至于感情生活方面,前几年一直盛传曾黎和吴军结婚,但2016年曾黎的经纪
曾黎老公是谁,曾黎的老公是吴军吗
"素食达人"曾黎 带着蔬菜进剧组
为你推荐
成龙好惨!5亿拍了一部"战狼",拖了5年才上映,结果变网络电影
贵州土特产贵阳黔五福老腊肉400g美味可口让你回味无穷满58元免邮
实力演员梅婷的"上位史"和她背后的三个男人
文字头像,可爱,勿扰
生态木吊顶效果图,生态木吊顶做法示意图(2019家装生态木吊顶图片大全
警察q版形象
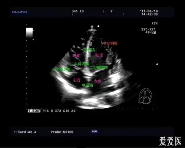
复习常用心脏切面 - 超声医学讨论版 - 爱爱医医学论坛
历史上的今天:一位抗清英雄悲凉过世,留下"武器"终令清朝灭亡