图知网
搜索
首页
热门推荐
图片分类
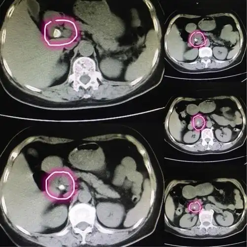
急腹症影像:胆道结石ct表现!
下载原图
相关图片
急腹症影像:胆道结石ct表现!
ct横断面可见结石自下而上填满胆总管.
刘荣芝-ct-急性梗阻性化脓性胆囊炎胆总管结石.jpg
56岁,胆总管结石并急性胆囊炎,胆管炎急诊入院,经ct检查证实为:胆石症
一例特殊的胆总管结石
男63胆囊炎胆结石致梗阻性黄疸什么叫mirizzi请检阅
为你推荐
拥抱的夫妇睡在床上照片
小氧推荐50cm-60cm比较保险,因为中国人身材普遍娇小,脖颈颀长,同样
如何选好钢琴放客厅位置?
穿尿不湿的妹妹替俩哥写作业网友上阵亲兄妹说好的自律呢
大概是6克盐2400毫克钠是什么概念呢?
现货松下焊机yd500fr2适用于快速点焊间隙焊接短缝快焊
线路:文昌新市区,文清大道往清澜镇路上食宿:可用餐无住宿;可用餐住宿
我的大学——等你的下课铃