图知网
搜索
首页
热门推荐
图片分类
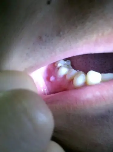
孩子老说牙疼牙床上长的像肉揪是的东西是什
下载原图
相关图片
牙龈长小肉芽
六岁宝宝半月前牙龈长了两个肉芽,开始有肿痛感,以为是上火没管它!
【图】牙龈长肉芽怎么办 让小编来告诉你佳解决方案
牙龈上长了一个红色发白的包
我的牙龈多长出一块肉
【图】牙龈长泡怎么回事 16招帮你轻松解决
为你推荐
杨佑宁帅气出席活动身姿挺拔长腿瞩目
南开随拍_第4页_南开大学_考研论坛(kaoyan.com)
潘阳出意外了吗被认为意外身亡了
六边形图片
小拉里-南斯:我们将摆脱防守倒数第一的窘境_nba中国官方网站
精品盒印刷
每次打中国女排都鸡血,人称"劈叉"小姐的杰奎琳
鱼漂大肚漂套装球漂远投浮标海钓矶钓海竿漂阿波漂爆炸钩漂鲢鳙漂大号