图知网
搜索
首页
热门推荐
图片分类
迷你颜可可
下载原图
相关图片
这张图片是什么动漫上的,说出动漫的名子
ova 樱花动漫_百度云_在线播放_紫可可
魔卡少女樱百变小樱片尾曲groovy奔跑的小可
一次性看过瘾【魔卡少女樱透明牌篇】的【包打听小可】合集
《魔卡少女樱》壁纸 小可
魔卡少女樱小可搞笑片段合集
为你推荐
刘耀文书签纸质书卡60张盒装小卡片同款文具照片周边lomo卡礼品
p>汪小敏 ,1992年10月1日出生于广西壮族自治区南宁市,中国内地女歌手
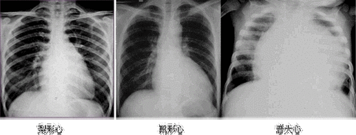
临床执业医师实践技能考试心脏增大诊断公式
男生和女生吃到难吃的东西时的反应,巨真实!
明清常见座椅尺寸图纸合集
爱心咖啡暖心静物写真高清原图下载,爱心咖啡暖心静物写真,图片,壁纸
主持人张蕾春日里的小仙女
超恐怖的怪兽手机壁纸320x480