图知网
搜索
首页
热门推荐
图片分类
原创小花仙:四位主角黑化形象对比,库库鲁很冷酷,芬妮公主很腹黑
下载原图
相关图片
小花仙:四位仙女黑化后,大家都变好看了,只有伊瞳变丑了
原创小花仙四叶草精灵王的4种形态黑化形态像女王进化形态变少女
小花仙第四季守护天使2黑化的花仙精灵王你喜欢谁呢
《 a target="_blank" href="/item/小花仙之四时花语/23638272" data
小花仙萨维利现出暴走形态这黑魔女也太丑了吧
新魔女登场!《小花仙之四时花语夏季篇》先导预告重磅来袭!
为你推荐
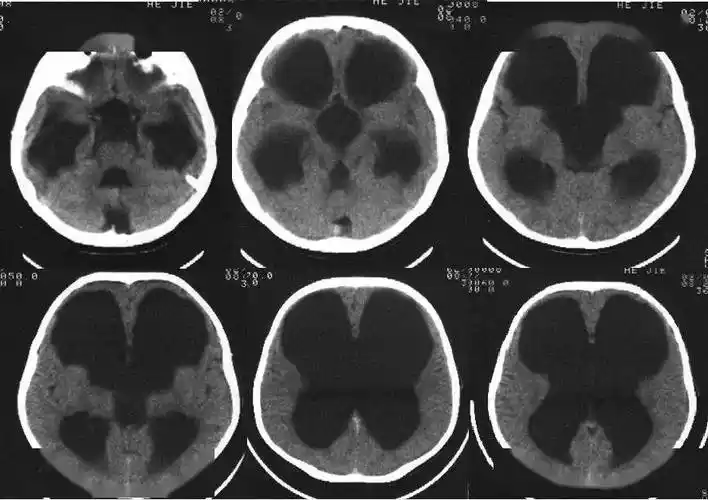
脑水肿脑积水的分类及影像表现一文归纳
牧羊曲笛箫谱
英国野鸡泛滥成灾,英国人难以对付.在我国它们的生存环境如何.
文字 宫崎骏动画经典语录 - 堆糖,美图壁纸兴趣社区
步骤彩铅插画梦中的座头鲸
> 少女色浪漫唯美星空海报背景 粉色 渐变 少女色 蓝色 星空 唯美 h5
新鲜多肉猪大骨猪龙骨猪排骨新鲜猪肉猪筒子骨猪棒骨批发5斤多肉猪大
日版 变形金刚 超能勇士 bw 金属变体 c-44 金属犀牛